The horse’s knee is a complex joint, susceptible to trauma and progressive arthritis – especially in performance horses.
Knee (or carpal) lameness is characterized by a shuffling gait, shortened foreleg strides, tripping in front due to not being able to lift the hoof fully off the ground, and swelling or heat on the knee.
The causes of knee lameness are varied. It is most often seen in horses that take excessive weight or concussion onto their front legs, such as jumpers, barrel racers, reiners, and cutters.
Vigilance and early intervention are crucial to preserving your horse’s function through knee lameness. The first indication of knee lameness is usually reduced performance, so knowing your horse is key for early intervention. [1]
You can help to prevent carpal lameness in your horse with good management practices. Ensure your horse is at appropriate body weight, support their joint health with proper nutrition, and watch for early signs of soreness.
Signs and Symptoms of Knee Lameness
Because of the complexity of the knee, horses are susceptible to lameness of all degrees.
Common signs and symptoms of carpal lameness are:
- Reduction in performance
- Obvious favouring of the limb (horse raises their head when stepping onto that limb)
- Shuffling gait
- Shortened foreleg stride length
- Tripping over the front feet
- Abducting the forelimb (swinging the foreleg out to try to get the hoof high enough off the ground to avoid tripping)
- Swelling and/or heat on the knee [8]
Diagnosing Knee Lameness
Horses showing signs of knee pain should be examined thoroughly by an equine veterinarian. The vet will likely perform a lameness exam including:
- Knee flexion tests to simulate stress on the joint
- Observing the horse at a walk, trot, and canter in a straight line and circle
- Nerve blocks to isolate the source of pain [14]
Your veterinarian may want to obtain further diagnostic imaging, such as x-rays, ultrasound images, CT, or MRI images to visualize suspected injury.
What's your top priority with your horse's health?
Anatomy of the Horse’s Knee Joint
The horse’s knee is one of the most complex joints in the equine body, consisting of numerous small bones and ligaments.
The three main joints are the:
- Radiocarpal joint
- Intercarpal joint
- Carpometacarpal joint [2]
These joints are held together by a network of ligaments, with additional ligaments that connect bone to tendons.
These ligaments not only preserve the knee’s structure but also assist in concussion absorption (the absorption of forces from movement).
Radiocarpal Joint
The radiocarpal joint connects the large upper bone of the radius (upper leg) to the small carpal bones of the interior knee. The radius sits on top of three carpal bones:
- Ulnar carpal bone
- Intermediate carpal bone
- Radial carpal bone [2]
In between the radius and the carpal bones, there are cartilage pads that ensure the joint glides smoothly during motion without pain or grinding.
Intercarpal Joint
Sitting below the carpal bones is the intercarpal joint. As its name denotes, this joint is an articulation within all of the carpal bones. The ulnar carpal, intermediate carpal, and radial carpal bones sit on top of the fourth, third, and second carpal bones. [2]
You may have noticed that no first or fifth carpal bones are listed. This is because these bones are only present in a fraction of horses. The first carpal bone is present in 30% of horses, while the fifth carpal bone is present in 1.4% of horses. [3]
The carpal bones are held together by intercarpal ligaments, most notably the palmar carpal ligament, which gives rise to the accessory ligament of the deep digital flexor tendon. [4]
Although technically not included in the intercarpal joint, the accessory carpal bone that extends from the back of the horse’s knee provides anchor points for the ligaments of the knee and the flexor carpi ulnaris. [2]
Cartilage pads are also present within this joint.
Carpometacarpal Joint
Finally, the carpometacarpal joint is an articulation between the fourth, third, and second carpal bones and the metacarpals of the lower leg.
The metacarpals of the lower leg include:
- The second metacarpal (medial splint bone)
- The third metacarpal (cannon bone)
- The fourth metacarpal (lateral splint bone) [4]
The first and fifth metacarpals do not exist in horses. The second and third metacarpals (splint bones) are remnants of toes that existed when horses had five toes.
The carpometacarpal joint of the horse does not provide movement to the knee. All knee movement is from the radiocarpal and intercarpal joints, while the carpometacarpal joint supports any shear forces the knee may encounter. [4]
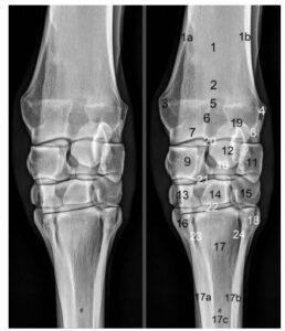
Image from Denoix, J.M. Essentials in Clinical Anatomy of the Equine Locomotor System.
9 – radial carpal bone; 10 – intermediate carpal bone; 11 – ulnar carpal bone; 13 – second carpal bone; 14 – third carpal bone; 15 – fourth carpal bone; 16 – second metacarpal bone; 17 – third metacarpal bone; 18 – fourth metacarpal bone. [25]
Ligaments of the Knee
The horse’s knee is encased in a strong capsule, the majority of which is made up of the lateral and medial collateral ligaments. The horse’s knee is largely a hinge joint, meaning its motion is similar to a hinge moving front to back.
The collateral ligaments ensure the horse’s knee remains stable side to side. [4] These ligaments are critical to the structure of the knee and are susceptible to injury.
Another major knee ligament is the palmar carpal ligament, which is a portion of the joint capsule. This ligament gives rise to the inferior check ligament. [6]
The inferior and superior check ligaments do not provide structure to the knee but serve an important role in the knee’s function.
Superior Check Ligament
This ligament is an attachment between the radius and the superficial flexor tendon. The superior check ligament maintains joint angles, assists in load distribution, and ensures the superficial flexor tendon is not unduly stretched. [5]
Inferior Check Ligament
This ligament is an attachment between the palmar carpal ligament and the deep digital flexor tendon. This ligament assists with shock absorption and prevents excessive lengthening of the deep digital flexor tendon. [7]
Muscles that Move the Knee
Because the knee is a hinge joint, the muscles function to flex and extend the knee.
The muscles that extend the knee are:
- Extensor carpi radialis (also assists with the stay apparatus, fixes the knee so the horse can sleep standing up)
- Common digital extensor
- Lateral digital extensor
- Extensor carpi obliquus [2]
The muscles that flex the knee are:
- Flexor carpi radialis
- Ulnaris lateralis
- Superficial digital flexor
- Deep digital flexor [2]
Causes of Knee Lameness
Knee lameness is usually a result of excessive concussion over time, over-twisting the knee, or trauma directly to the joint.
Predisposing Factors
Conformation can predispose horses to knee pain. Ideally, a horse’s foreleg should sit straight on top of the lower leg, and the lower leg should extend straight below the knee.
Common conformation faults that contribute to carpal lameness include:
Back at the knee (or calf knee)
When viewed from the side, the horse’s knee falls behind an imaginary vertical line drawn from the middle of the foreleg; the leg takes on a slight backwards v-shape.
This fault puts undue strain on the ligaments at the back of the knee and increases the force to the front of the carpal bones.
Knock knees
When viewed from the front, the knees of the horse fall to the inside of an imaginary vertical line drawn in the middle of the foreleg, while the hooves travel back out to fall on the imaginary line.
This fault puts undue strain on the medial collateral ligament (on the inside of the knee).
Bow-legged
When viewed from the front, the knees of the horse fall to the outside of an imaginary vertical line drawn in the middle of the foreleg, while the hooves travel back in to fall on the imaginary line.
This fault puts undue strain on the lateral collateral ligament (on the outside of the knee).
Bench knee
The cannon bone is set too far to the outside of the knee, leaving the medial aspect of the carpal bones (medial splint and medial aspect of the cannon bone) to carry excessive weight.
This conformation fault makes the horse vulnerable to “popped” splints. [9]
Over at the knee
This is the opposite of back at the knee; the knee falls in front of the imaginary vertical line. Although an anomaly, this is not necessarily considered a conformation fault, as it does not cause undue stress to the knee. [9]
Arthritis
The most common cause of knee lameness in horses is osteoarthritis. Arthritis is usually caused by repeated concussive forces travelling through the joint, breaking down the cartilage that provides cushioning to the ends of the bone.
Horses with knee arthritis will develop bony outgrowths within the joints, causing further inflammation and pain.
These bony growths will also reduce the range of motion in the knee, inhibiting the horse’s ability to lift their foreleg off the ground. [10]
Carpal Chip Fractures
Carpal chip fractures (or osteochondral fractures) are common in racehorses due to the consistent concussion applied to the carpal bones.
Chips of bone will start to break away from the carpals, resulting in floating pieces of bone within the joint. Carpal chip fractures occur within the radiocarpal joint and the intercarpal joint.
There are two types of carpal chip fractures:
Carpal slab fractures
This is the most common type of carpal chip fractures. Slab fractures extend through the carpal, resulting in a slab breaking off from the main bone.
Accessory carpal bone fractures
These fractures occur only on the accessory carpal bone and are a less common type of chip fracture. [11]

Ligament Tears
Ligament tears occur when the knee is moved excessively outside of its normal range of motion, such as when the knee is forced to the side or twisted.
Collateral ligament tears occur when the knee is forced to the side, tearing one of the ligaments on either side of the knee. [12]
The lower leg’s superior and inferior check ligaments can also tear, leading to pain and lameness. Because the check ligaments of the lower leg attach to the superficial flexor tendon and deep digital flexor tendon, tears to these ligaments are usually a result of undue stress to those tendons.
When those tendons are overly stretched, the check ligaments will rupture before the tendon does. These ligaments are considered a “fail-safe” and prevent the more important tendons from rupturing. [8]
Proximal Suspensory Ligament Desmitis
The suspensory ligament of the forelimb travels behind the horse’s knee. Inflammation or injury to this ligament can cause knee pain.
This is a common injury in Thoroughbred racehorses, as these horses constantly take incredible amounts of concussion onto the forelimbs.
This injury presents as acute lameness, heat, and swelling behind the knee. [13]
Popped Knee
Horses are animals that thrive in a hierarchical herd dynamic. However, socializing with other horses can result in flying hooves and kicks to the knee.
This trauma can result in carpal fractures and bruising, sometimes resulting in a popped knee with excessive swelling on the front.
Popped knees are a symptom and not a cause of lameness, but they are mentioned enough in the horse world to be included in this article.
Treatment
Treating knee lameness in horses depends on the cause of the lameness. Often, mild knee pain can be treated with rest and non-steroidal anti-inflammatory drugs (NSAIDS).
More severe cases may require further intervention, but horses with knee pain generally have a good prognosis for recovery.
Management may need to be undertaken for the rest of the horse’s life, and horses with more severe injuries may not be able to return to their original level of performance.
Joint Injections
Horses with osteoarthritis usually benefit from joint injections. Joint injections reduce inflammation and increase lubrication within the joint capsule. Depending on the degree of arthritis and performance desire of the owner, the vet may choose to inject one or more of the following medications;
Hyaluronic acid and corticosteroids:
HLA and corticosteroids reduce inflammation within the joint, reducing pain. [15]
Interleukin-1 Receptor Antagonist Protein (IRAP):
IRAP is made from protein naturally produced by the horse’s body, which has been shown to reduce inflammation and promote cartilage regeneration. [16]
Platelet Rich Plasma (PRP):
PRP is a naturally occurring component of the horse’s blood that can stimulate and repair damaged cartilage when injected into the joint space. [17]
Autologous Protein Solution (Pro-stride):
Pro-stride is a derivative of the horse’s blood that can reduce inflammation, stimulate tissue repair, and reduce pain. [18]
Arthroscopic Surgery
Arthroscopic surgery is the procedure of choice for carpal slab fractures. Depending on the location and severity, the veterinary surgery will perform one of two procedures;
Arthroscopic removal of the bone chip
This will ensure the piece of bone that broke off from the carpal is not floating within the joint, causing pain.
Arthroscopic screw fixation
The surgeon will screw the broken piece of bone into the bone’s main body, retaining the bone’s structural integrity while eliminating pain. [19]
Horses that undergo arthroscopic carpal surgery generally recover well with appropriate stall rest and rehabilitation protocols.
Stall Rest and Ice
Horses that have experienced a ligament tear must undergo strict stall rest and icing. Stall rest ensures the torn ligament ends remain aligned and reduce the incidence of re-tearing. Ice reduces inflammation and pain.
For a horse with a knee ligament tear, the veterinarian will prescribe rehabilitation instructions that depend on the tear’s degree and location.
Follow those instructions closely to give your horse the best chance to recover. [20]
Shockwave Therapy
Depending on the injury, your veterinarian may suggest shockwave therapy. This treatment is commonly recommended for ligament injuries.
Shockwave therapy consists of applying a wand to the location of the injury. The wand releases short high energy pulses into the tissues, creating microscopic bubbles that expand and burst.
The bursting of these bubbles triggers cell-growth factors and increases blood flow to the area. [21]
Studies have indicated that horses with ligament injuries benefit from shockwave treatment. [22]
How to Prevent Knee Lameness
Knee lameness can be prevented with exercise management, good feeding practices, joint supplementation, and good horsemanship.
Knee injuries often occur as a direct result of over-use. Maintaining a balanced conditioning program can reduce the risk of knee injury. Always introduce high-impact activities slowly and within the horse’s limits.
Regular farrier care will ensure proper force transfer through the hoof into the knee joint, reducing the risk of force application to more fragile structures.
As your horse ages, weight management becomes increasingly important for avoiding knee arthritis. [23]
Follow our guide on how to care for your senior horse for additional tips to consider as your horse gets older.
Feeding for Joint Health
What you feed your horse can directly impact the health of their knee joints. Ensure your horse’s diet is balanced for vitamins and minerals to maintain healthy bones, cartilage, and synovial fluid.
Nutrients such as amino acids, copper, and zinc are particularly important for maintaining cartilage within the joints.
Calcium and phosphorous are necessary to maintain healthy bones. [24]
Supplementing your horse’s diet with methyl-sulfonate-methane (MSM), hyaluronic acid, and omega-3 fatty acids can also reduce inflammation and support joint health.
You can learn more by reading our research review on the Top Equine Joint Supplements and our guide to 8 Key Principles for Supporting Joint Health in Horses.
Frequently Asked Questions
Here are some frequently asked questions about knee lameness in horses:
Knee lameness in horses is often caused by excessive concussion or trauma to the joint, which can lead to conditions like osteoarthritis, ligament tears, and fractures. Horses involved in high-impact activities such as jumping, racing, or barrel racing are more prone to knee injuries. Conformation faults, such as "back at the knee" or "knock knees," can also contribute to knee lameness by putting added strain on the joint.
Preventing knee lameness starts with maintaining a balanced training regimen that avoids overexertion, as well as ensuring your horse maintains a healthy body weight. Regular farrier care is essential to ensure proper hoof alignment, as incorrect hoof angles can increase strain on the knee. Additionally, providing joint-supporting nutrition and supplements, along with paying attention to any early signs of discomfort, can help prevent knee issues.
For chronic knee lameness, focus on reducing discomfort and supporting joint function. Rest and avoiding high-impact activities are essential. Treatment may include joint injections, physical therapy, and anti-inflammatory medications. While chronic lameness may not be fully curable, proper care and monitoring can help maintain comfort and function. Regular veterinary check-ups are vital to track progress and adjust treatment as needed.
While some knee lameness may not be fully curable, managing the condition through appropriate treatment is key to supporting your horse's recovery. Rest and rehabilitation are often necessary, with cold hosing and non-steroidal anti-inflammatory drugs (NSAIDs) used to reduce inflammation and pain. If the lameness is due to arthritis, joint injections or other therapies may be recommended by your veterinarian to manage symptoms. Regular veterinary monitoring is also essential to track your horse's progress.
Summary
Knee lameness in horses is a common issue, often resulting from trauma, overuse, or conformation problems. It can lead to significant mobility challenges if left untreated. Various treatment options are available depending on the severity of the condition.
- Horse's knees are complex joints with multiple bones and ligaments crucial for movement and shock absorption
- Knee lameness is commonly caused by excessive concussion, arthritis, fractures, or ligament tears
- Identifying knee lameness early can help prevent long-term damage and preserve performance
- Treatment options include rest, medications, joint injections, and surgeries like arthroscopic procedures
References
- Torzewski, J. and Mihaly, M. Common Lameness in Western Horses. Folia Veterinaria. 2009.
- Budras, K. et al. Anatomy of the Horse. Schluetersche Verlagsgesellschaft. 2011.
- Murray, R. and Dyson, S. The Equine Carpus. Veterian Key. 2016.
- Ross, M. The Carpus. Veterian Key. 2016.
- Alexander, G. et al. Effects of superior check desmotomy on flexor tendon and suspensory ligament strain in equine cadaver limbs. Vet Surg. 2001. View Summary
- Pepe, M. et al. Bilateral Rupture of the Palmar Carpal Ligament in a Horse Suffering from Acute Diaphragmatic Hernia. Journal of Equine Vet Sci. 2013.
- McIlwraith, C. and Fessler, J. Evaluation of inferior check ligament desmotomy for treatment of acquired flexor tendon contracture in the horse. Journal of the Am Vet Med Assoc. 1978. View Summary
- Rooney, J. The Lame Horse. Russell Meerdink Company Ltd. 1998.
- Back, W. and Clayton, H. The effects of conformation. Equine Locomotion. 2013.
- McIlwraith, W. et al. Joint Disease in the Horse. Elsevier Health Sciences. 2016.
- Brokken, M. Fractures of the Small Metacarpal (Splint) Bones in Horses. Merck Manual. 2015.
- Boswell, J. Collateral Ligament Injuries in Horses. Merck Manual. 2015.
- Brokken, M. Suspensory Desmitis in Horses. Merck Manual. 2015.
- Ross, M. and Dyson, S. Diagnosis and Management of Lameness in the Horse. Saunders. 2011.
- Auer, J. et al. Effect of hyaluronic acid in naturally occurring and experimentally induced osteoarthritis. Am Journal of Vet Research. 1980. View Summary
- Machado, T. et al. Effects of blood-derived products and sodium hyaluronate on equine synovial fluid cells and on synovial fluid from osteochondrotic joints of horses after arthroscopy and administration of treatment. Am Journal of Vet Research. 2019.View Summary
- Textor, J. et al. Synovial fluid growth factor and cytokine concentrations after intra-articular injection of a platelet-rich product in horses. The Vet Journal. 2013.View Summary
- King, W. et al. The Use of Autologous Protein Solution (Pro-Stride®) and Leukocyte-Rich Platelet-Rich Plasma (Restigen®) in Canine Medicine. Vet Med. 2021.
- McIlwraith, W. Fractures of the Carpus. Equine Fracture Repair. 2019.
- McIlwraith, W. Tearing of the medial palmar intercarpal ligament in the equine midcarpal joint. Equine Vet Journal. 1992. View Summary
- Solanki, C. et al. et al. Extracorporeal Shockwave Therapy: An Evidence Based Practice. International Journal of Healthcare Sciences. 2019.
- McClure, S. The effects of extracorporeal shock-wave therapy on the ultrasonographic and histologic appearance of collagenase-induced equine forelimb suspensory ligament desmitis. Ultrasound Med Biology. 2004. View Summary
- Duberstein, K. and Johnson, E. Caring for the Older Horse: Common Problems and Solutions. University of Georgia. 2004.
- National Research Council. Nutrient Requirements of Horses. 2007.
- Denoix, J-M. Essentials in Clinical Anatomy of the Equine Locomotor System. CRC Press. 2019.
